Prostate MRI
  • Home
  • PIRADS Calculator
  • Journal Club
  • Contact
Prostate MRI
  • Home/
  • PIRADS Calculator/
  • How we do it/
    • Possibilities/
      • Journal Club/
      • Contact/
      PIRADS 1
      Prostate MRI

      Optimize your Prostate MRI

      TZ - T2

      Prostate MRI
      • Home/
      • PIRADS Calculator/
      • How we do it/
        • Possibilities/
          • Journal Club/
          • Contact/
          PIRADS 1

          PIRADS 1

          A normal appearing TZ (rare) or a round, completely encapsulated nodule (“typical nodule”)

          PIRADS 2

          PIRADS 2

          A mostly encapsulated nodule or a homogeneous circumscribed nodule without encapsulation (“atypical nodule”) or a homogeneous mildly hypointense area between nodules.

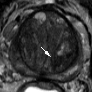
          PIRADS 3

          PIRADS 3

          Heterogeneous signal intensity with obscured margins (arrow). Includes others that do not qualify as 2, 4, or 5.

          PIRADS 4

          PIRADS 4

          Lenticlular (arrow) or noncircumscribed, homogeneous, moderately hypointense, and <1.5 cm in greatest dimension.

          PIRADS 5

          PIRADS 5

          Same as 4, but ≥ 1.5cm in greatest dimension (arrows) or definite extraprostatic extension/invasive behavior

          1 2 3 4 5
          Previous Next
          PIRADS 1
          PIRADS 2
          PIRADS 3
          PIRADS 4
          PIRADS 5
          • Home/
          • PIRADS Calculator/
          • How we do it/
            • Possibilities/
              • Journal Club/
              • Contact/

              Prostate MRI

              Information on acquisition, postprocessing, interpretation and reporting of prostate MRI.

              Navigation

              General.jpg

              Allgemeines

              Diskussion, Feedback, Ideen, etc.

              CT2.jpg

              CT- und Rx-Hangings

              Evaluation der CT-Hangings

              mri2.jpg

              MR-Hangings

              Evaluation der MR-Hangings

              Rapporte2.jpg

              Rapport-Tool

              Evaluation des Rapport-Tools

              ReadingPart.jpg

              Reading Panel

              Evaluation des Reading-Panels